Trang chủ / Tài liệu chuyên môn
Chấn thương hàm mặt - Nguyên nhân, triệu chứng và cách xử trí
14/11/2024 (GMT+7)
 Chấn thương hàm mặt có thể xảy ra ở mọi lứa tuổi, do nhiều nguyên nhân, cơ chế khác nhau. Trong đó, nguyên nhân chủ yếu nhất là do tai nạn giao thông . Ở trẻ em, chấn thương hàm mặt có thể xảy ra do tai nạn sinh hoạt, do các vật dụng, đồ chơi sắc nhọn, hay cũng có thể do bị vật nuôi tấn công. Người cao tuổi có thể bị ngã do choáng, liên quan đến các nguyên nhân toàn thân như tăng huyết áp, hạ đường huyết…

Vai trò của các xét nghiệm dấu ấn ung thư
11/11/2024 (GMT+7)
Dấu ấn ung thư đầu tiên được phát hiện là protein Bence Jones (1846) được dùng để chẩn đoán đa u tủy xương. Ngày nay các kỹ thuật và công nghệ mới đã được áp dụng để phát hiện và ứng dụng nhiều các dấu ấn ung thư mới góp phần trong phục vụ chẩn đoán, tiên lượng, theo dõi hiệu quả điều trị cũng như phục vụ cho liệu pháp điều trị đích.

Bệnh viện đa khoa tỉnh Hải dương thực hiện thành công phẫu thuật cắt vú tiết kiệm da, tạo hình ngay bằng túi độn trên bệnh nhân ung thư vú đang điều trị ARV
23/10/2024 (GMT+7)
Ung thư vú(UTV) là loại ung thư phổ biến nhất đối với phụ nữ ở nhiều quốc gia trong đó có Việt Nam. Theo Globocal 2020, trên toàn thế giới có 2,3 triệu ca UTV mắc mới, chiếm lỉ lệ 11,7%, Việt Nam có 21555 ca mắc mới tỉ lệ 11,8%, xếp thứ 3 trong các bệnh ung thư thường gặp.

NHẬN XÉT KẾT QUẢ ĐIỀU TRỊ CỦA PHƯƠNG PHÁP VẬT LÝ TRỊ LIỆU KẾT HỢP BÀI TẬP Mc KENZIE TRÊN BỆNH NHÂN THOÁT VỊ ĐĨA ĐỆM CỘT SỐNG CỔ
25/06/2024 (GMT+7)
Thoát vị đĩa đệm cột sống cổ (TVĐĐ CSC) là bệnh lý khá phổ biến ở Việt Nam cũng như trên thế giới, ảnh hưởng rất lớn đến khả năng lao động và sinh hoạt của người bệnh. Mục tiêu của đề tài nhằm “nhận xét kết quả điều trị của phương pháp vật lý trị liệu kết hợp bài tập Mc Kenzie trên bệnh nhân thoát vị đĩa đệm cột sống cổ tại Bệnh viện Đa khoa tỉnh Hải Dương”. Có 30 BN được chẩn đoán là TVĐĐ CSC được điều trị bằng phương pháp vật lý trị liệu kết hợp bài tập Mc Kenzie. Sau 20 ngày điều trị, tỉ lệ bệnh nhân đạt hiệu quả điều trị tốt là 36,7%, khá là 60%, trung bình là 3,3%. Từ

CHẨN ĐOÁN VÀ ĐIỀU TRỊ TAY CHÂN MIỆNG DO ENTEROVIRUS 71 Ở TRẺ EM
19/06/2024 (GMT+7)
Ở nước ta, trong 10 năm trở lại đây, bệnh Chân tay miệng xuất hiện với số lượng mắc ngày càng cao và là nguyên nhân gây tử vong hàng đầu trong số bệnh truyền nhiễm ở trẻ em.




NHỮNG ĐIỀU CẦN BIẾT VỀ BỆNH LÝ XƠ GAN RƯỢU
03/06/2024 (GMT+7)
Xơ gan do rượu là tình trạng tổn thương gan mạn tính kéo dài do uống bia rượu. Đây là bệnh lý về gan liên quan đến cồn nguy hiểm nhất, xảy ra sau 1 thời gian dài uống quá nhiều rượu

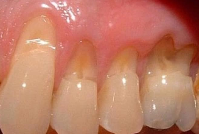
MÒN CỔ RĂNG - BIỆN PHÁP PHÒNG NGỪA VÀ XỬ TRÍ
29/05/2024 (GMT+7)
Trong quá trình thăm khám bệnh tại Khoa Răng Miệng - Bệnh viện Đa khoa tỉnh Hải Dương, chúng tôi gặp một bệnh rất phổ biến, nhiều bệnh nhân mắc phải và đã được chúng tôi xử lý rất nhiều đó là: mòn cổ răng.

Viêm khớp dạng thấp: Nguyên nhân, triệu chứng, chẩn đoán và điều trị
22/05/2024 (GMT+7)
Viêm khớp dạng thấp (RA – Rheumatoid Arthritis) là bệnh lý viêm khớp tự miễn mạn tính, gây viêm bao hoạt dịch, khiến cho các khớp trở nên sưng, nóng, đỏ và đau.

Ca lâm sàng đặc biệt: Bỏng điện cao thế khi câu cá dưới đường điện
10/11/2023 (GMT+7)
Ngày 22 tháng 10 năm 2023, khoa Cấp cứu Bệnh viện đa khoa tỉnh Hải Dương đã cấp cứu một bệnh nhân bị “ Bỏng điện cao thế khi câu cá dưới đường điện”. Đây là một trường hợp bỏng điện rất nặng, tổn thương bỏng nhiều vùng cơ thể, nguy cơ đe dọa tính mạng.

NHÂN MỘT TRƯỜNG HỢP CHẤN THƯƠNG TỤY
07/11/2023 (GMT+7)
Chấn thương tụy là một chấn thương hiếm gặp nhưng có khả năng gây tử vong cao và rất khó chẩn đoán. Các phương pháp hình ảnh thông thường hay bỏ sót những tổn thương tinh tế liên quan đến chấn thương tuyến tụy.

Virus RSV - Nguyên nhân gây bệnh viêm phổi ở trẻ em
06/11/2023 (GMT+7)
Virus RSV (virus hợp bào hô hấp) là một trong những nguyên nhân thường gặp gây bệnh đường hô hấp (viêm tiểu phế quản, viêm phổi) ở trẻ em. Hiện chưa có vắc-xin phòng ngừa virus RSV và thuốc điều trị đặc hiệu nên việc phát hiện bệnh sớm để có kế hoạch điều trị và chăm sóc kịp thời là rất quan trọng.

TRIỂN KHAI HOẠT ĐỘNG GIÁM SÁT NỒNG ĐỘ VANCOMYCIN TRONG MÁU TRÊN BỆNH NHÂN NGƯỜI LỚN TẠI BỆNH VIỆN ĐA KHOA TỈNH HẢI DƯƠNG
02/11/2023 (GMT+7)
Giám sát nồng độ thuốc trong máu (TDM) là thực hành lâm sàng định lượng nồng độ thuốc trong máu theo khoảng thời gian xác định, nhằm tối ưu hóa chế độ liều dùng của thuốc

VAI TRÒ VÀ MỘT SỐ  YẾU TỐ ẢNH HƯỞNG ĐẾN KẾT QUẢ XÉT NGHIỆM  NỒNG ĐỘ CỒN TRONG MÁU
02/11/2023 (GMT+7)
Hiện nay xét nghiệm nồng độ cồn trong máu có vai trò quan trọng trong thực hành lâm sàng: xác định và chẩn đoán trường hợp ngộ độc cấp do rượu, xác định nguyên nhân bệnh lý của quá trình sử dụng kéo dài (xơ gan, não gan, tâm thần). Xét nghiệm nồng độ cồn còn là cơ sở pháp lý cho cơ quan thực thi pháp luật, pháp y.

LỌC MÀNG BỤNG CHU KỲ NGOẠI TRÚ
16/10/2023 (GMT+7)
Số lượng bệnh nhân mắc bệnh thận mạn đang ngày càng gia tăng trên toàn thế giới. Theo số liệu ước tính năm 2017 có khoảng 850 triệu người bị bệnh thận mạn các giai đoạn. Con số này cao gấp đôi số người mắc bệnh đái tháo đường trên toàn thế giới. Bệnh thận mạn là nguyên nhân gây tử vong tăng nhanh thứ 3 trên toàn cầu và được dự báo sẽ trở thành nguyên nhân tử vong cao thứ 5 vào năm 2040.

TÌNH HÌNH KHÁNG KHÁNG SINH CỦA CÁC VI KHUẨN PHÂN LẬP ĐƯỢC TẠI BỆNH VIỆN ĐA KHOA TỈNH HẢI DƯƠNG NĂM 2022
30/08/2023 (GMT+7)
Mức độ đề kháng kháng sinh của các vi khuẩn ngày càng gia tăng ở mức báo động. Giám sát tính kháng thuốc là nhiệm vụ thường xuyên của nhà Vi sinh lâm sàng, giúp các bác sĩ lâm sàng sử dụng kháng sinh hợp lý và hiệu quả. Tại Bệnh viện Đa khoa tỉnh Hải Dương, việc thường xuyên giám sát về Vi khuẩn (VK) và mức độ nhạy cảm của chúng với Kháng sinh (KS) được thực hiện hàng năm giúp cho các bác sỹ lâm sàng có thể điều trị theo kinh nghiệm trước khi có kết quả kháng sinh đồ. Các vấn đề trên đặt ra nhu cầu theo dõi và cập nhật sự thay đổi về căn nguyên và mức độ kháng kháng sinh.

ĐIỀU TRỊ LIỆT DÂY THẦN KINH VII NGOẠI BIÊN BẰNG Y HỌC CỔ TRUYỀN
13/06/2023 (GMT+7)
   Liệt dây thần kinh (TK) VII ngoại biên (NB) là bệnh khá phổ biến trên lâm sàng. Bệnh do nhiều nguyên nhân như lạnh, nhiễm trùng (viêm tai xương chũm, zona thần kinh...), chấn thương, u chèn ép...Trong đó tỷ lệ mắc bệnh do lạnh chiếm 82%. Bệnh chủ yếu gặp vào mùa đông xuân và có thể gặp ở mọi lứa tuổi. Bệnh tuy không nguy hiểm đến tính mạng và 65% có thể tự khỏi nhưng thời gian hồi phục lâu, ảnh hưởng rất lớn đến sinh hoạt, ăn uống và thẩm mỹ của bệnh nhân.[1]

BÁO CÁO CASE LÂM SÀNG VIÊM MÀNG NÃO DO EPSTEIN- BARR VIRUS
09/06/2023 (GMT+7)
Epstein- Barr virus (EBV) hay còn gọi là HSV-4, là 1 trong 8 loại virus thuộc họ Herpesviridae và là một trong những loại virus phổ biến nhất ở người. Khoảng trên 90% người trưởng thành đã từng nhiễm EBV và có kháng thể chống lại virus này. Sau nhiễm EBV, virus sẽ trú ngụ trong cơ thể người ở trạng thái không hoạt động và có thể tái kích hoạt và gây ra triệu chứng trong một số trường hợp như suy giảm miễn dịch, thời kỳ mãn kinh hoặc thay đổi nội tiết tố …
Tài liệu chuyên môn
Bài viết mới nhất
20/03/2026 / benhviendakhoatinhhaiduong
Ngày 19/3/2026, Ban Chấp hành Đoàn Thanh niên Bệnh viện Đa khoa Hải Dương đã tổ chức Chương trình hiến máu tình nguyện thiết thực chào mừng kỷ niệm 95 năm Ngày thành lập Đoàn Thanh niên Cộng sản Hồ Chí Minh (26/3/1931 – 26/3/2026).
06/03/2026 / benhviendakhoatinhhaiduong
Nhân kỷ niệm 116 năm Ngày Quốc tế Phụ nữ (08/3/1910 – 08/3/2026) và 1986 năm Cuộc khởi nghĩa Hai Bà Trưng, Bệnh viện Đa khoa Hải Dương trân trọng gửi lời tri ân và chúc mừng tới những người phụ nữ – những bông hoa đẹp của xã hội. Với sự dịu dàng, bản lĩnh và tận tâm, các nữ cán bộ, viên chức, người lao động của bệnh viện đã và đang đóng góp quan trọng trong sự nghiệp chăm sóc, bảo vệ sức khỏe nhân dân.
05/03/2026 / benhviendakhoatinhhaiduong
Trong dòng chảy bền bỉ của thời gian, có những giá trị không bao giờ phai nhạt – đó là sự trân trọng đối với các thế hệ đi trước. Hòa trong không khí ấm áp của Xuân Bính Ngọ 2026, ngày 04/3/2026, Bệnh viện Đa khoa Hải Dương tổ chức buổi gặp mặt cán bộ hưu trí trong không khí trang trọng, ấm áp, như một lời tri ân sâu sắc gửi tới những người đã dành trọn tâm huyết cho sự phát triển của Bệnh viện.
28/02/2026 / benhviendakhoatinhhaiduong
“Lương y như từ mẫu” – người thầy thuốc không chỉ chữa bệnh bằng y thuật mà còn chăm sóc bằng tình thương của một người mẹ hiền. Trước mỗi sinh mệnh mong manh là trách nhiệm thiêng liêng, là sự tận tụy không quản ngày đêm, là những quyết định được đặt trên nền tảng cao nhất của y đức và lòng nhân ái. Sự tận tâm ấy không dừng lại ở chuyên môn, mà còn thể hiện qua từng ánh nhìn cảm thông, từng lời động viên chân thành, để người bệnh vững tin vượt qua thử thách và giành lại sự sống.
27/02/2026 / benhviendakhoatinhhaiduong
Nhân dịp kỷ niệm 71 năm Ngày Thầy thuốc Việt Nam (27/2/1955 – 27/2/2026), Bệnh viện Đa khoa Hải Dương trân trọng gửi tới toàn thể đội ngũ cán bộ, y bác sĩ, điều dưỡng, kỹ thuật viên, dược sĩ cùng toàn thể viên chức và người lao động trong ngành y tế lời chúc mừng tốt đẹp và tri ân sâu sắc nhất.
Tin đã đăng
TRANG TIN ĐIỆN TỬ BỆNH VIỆN ĐA KHOA HẢI DƯƠNG
 Địa chỉ : số 225 Nguyễn Lương Bằng, phường Lê Thanh Nghị, thành phố Hải Phòng
Điện thoại :(03203)890 205
Email: benhviendakhoatinhhaiduong@gmail.com
logo.png ® BỆNH VIỆN ĐA KHOA HẢI DƯƠNG
 Hết lòng phục vụ người bệnh và hành động vì sức khỏe cộng đồng

BỆNH VIỆN ĐA KHOA HẢI DƯƠNG giữ bản quyền nội dung cho website này.
Nghiêm cấm mọi sao chép bài viết mà không được sự đồng ý của tác giả.