Trang chủ / Tài liệu chuyên môn

NHÂN MỘT TRƯỜNG HỢP ĐÁI THÁO ĐƯỜNG Ở THAI PHỤ NGHI CÓ DỊ TẬT THAI TRONG THỜI GIAN NẰM VIỆN ĐIỀU TRỊ BỆNH ĐÁI THÁO ĐƯỜNG TẠI KHOA NỘI TIẾT BỆNH VIỆN ĐA KHOA TỈNH HẢI DƯƠNG

08/09/2021 (GMT+7)
Đái tháo đường trong thai kỳ là tình trạng tăng nồng độ đường trong huyết tương được phát hiện lần đầu trong khi có thai

NHÂN MỘT TRƯỜNG HỢP ĐÁI THÁO ĐƯỜNG Ở THAI PHỤ NGHI CÓ DỊ TẬT THAI TRONG THỜI GIAN NẰM VIỆN ĐIỀU TRỊ BỆNH ĐÁI THÁO ĐƯỜNG TẠI KHOA NỘI TIẾT BỆNH VIỆN ĐA KHOA TỈNH HẢI DƯƠNG

 

Ths. Bs Vũ Văn Nguyên - Trưởng khoa Nội tiết

BS. Nguyễn Võ Giang - Khoa Nội tiết

Đái tháo đường trong thai kỳ là tình trạng tăng nồng độ đường trong huyết tương được phát hiện lần đầu trong khi có thai; Đái tháo đường trong thai kỳ được phân loại thành 2 nhóm là đái tháo đường mang thai (Diabetes in pregnancy) và đái tháo đường thai kỳ (Gestational Diabetes Mellitus). Đái tháo đường mang thai, hay còn gọi là đái tháo đường rõ (Overt Diabetes) có mức glucose huyết tương đạt mức chẩn đoán đái tháo đường tiêu chuẩn (WHO, 2006), trong khi đái tháo đường thai kỳ có mức glucose huyết tương thấp hơn. Tỷ lệ đái tháo đường trong thai kỳ đang có chiều hướng gia tăng do sự gia tăng tỷ lệ thừa cân, béo phì, đái tháo đường type 2 ở người trẻ và đề kháng insulin trong hội chứng buồng trứng đa nang. Nếu không được phát hiện và điều trị có thể dẫn đến nhiều biến chứng nguy hiểm cho cả mẹ và thai nhi.

Khoa Nội tiết Bệnh viện đa khoa tỉnh Hải Dương là một khoa chuyên khoa về nội tiết và đái tháo đường, hàng năm khám và tiếp nhận điều trị khoảng trên 3.000 bệnh nhân bị đái tháo đường, ngày càng có nhiều thai phụ đến khám và điều trị đái tháo đường góp phần nâng cao chất lượng chăm sóc phụ nữ mang thai, nâng cao chất lượng chăm sóc y tế cho bà mẹ và trẻ em trong quá trình mang thai, hạn chế được các rủi ro do hậu quả của bệnh đái tháo đường đem lại cho cả mẹ và con.

Tháng 8 năm 2021, khoa Nội tiết tiếp nhận một trường hợp đái tháo đường trong thai kỳ phát hiện một trường hợp nghi ngờ có dị tật thai: ca lâm sàng và bàn luận các vấn đề liên quan xung quanh chủ đề đái tháo đường trong thai kỳ - khuyến cáo giành cho các bà mẹ có kế hoạch mang thai và đang trong thai kỳ.   

1. CA LÂM SÀNG: Bệnh nhân nữ - 34 tuổi, vào viện ngày 12/08/2021

- Lý do vào viện: tăng đường máu/thai phụ mang thai lần 4, tuổi thai 27 tuần

- Tiền sử: Suy giáp sau điều trị I131 do bệnh Basedow; Mổ  đẻ  lần 1 con 3300gr do chuyển  dạ không tiến  triển, đình chỉ thai 2 lần, sảy thai 1 lần.

- Bệnh sử: hiện tại mang thai lần 4; ở tuần thứ 8 của thai kỳ, điều trị dọa xảy tại BV Phụ sản Hải Dương, hiện tại vẫn đang điều trị thuốc: Duphastone, Utrogestan. Khi khám thai tại phòng khám Sản làm nghiệm pháp dung nạp glucose, thấy glucose m áu tăng cao, bệnh nhân được chuyển lên khoa Nội tiết Bệnh viện đa khoa tỉnh Hải Dương điều trị.

- Khám lúc vào viện: tỉnh, tiếp xúc tốt, da, niêm mạc hồng; HA: 110/60 mmHg, Mạch: 90 lần/phút, nhiệt độ: 36,3 độ C; Thai máy đều: XN đường máu: 10,2 mmol/l.

- Các xét nghiệm cận lâm sàng:

+ Nghiệm pháp dung nạp Glucose: Glucose lúc đói: 4,2 mmol/l; Glucose sau 1h: 11,2 mmol/l; Glucose sau 2h: 10,2 mmol/l

+ HbA1c: 5,1 %

+ C-peptid: 0,439 mmol/l

+ Nước tiểu: BC (+), Protein (+), Glucose (-)

+ Công thức máu: HC: 3.81 T/l, Hb: 115 g/l, BC: 8.19 G/l, TC: 337 G/l

+ Khảo sát tuyến  giáp: FT4: 18,51 pmol/l, T3: 3,16 nmol/l, TSH: < 0,001 uIU/ml; Siêu âm tuyến giáp: hình ảnh Basedow

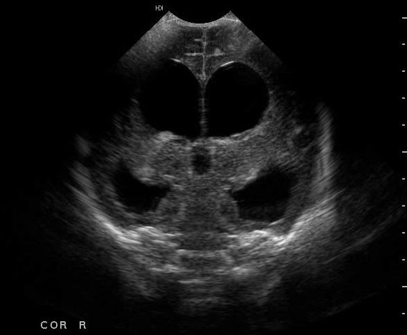
+ Siêu âm thai: Thai 27 tuần, giãn não thất, dịch màng phổi 2 bên, nghi ngờ bất thường tim, thiểu ối.

 

 

 

- Chẩn đoán: Đái tháo đường/thai 27 tuần nghi dị tật thai/Suy giáp sau điều trị I131.

- Điều trị cụ thể: Scilin R: 6h: 3 đv, 11h: 3 đv, 18h:3 đv (TDD); Scilin N: 21h: 6 đv (TDD); Disthyrox 50 mcg x 1viên/ngày.

- Kết quả điều trị: Sau 2 ngày, kiểm soát đường huyết của bệnh nhân đã ổn định. XN đường máu: 6h: 4,3 mmol/l, 8h: 5,8 mmol/l, 11h: 4,3 mmol/l

- Hội chẩn chuyển Bệnh viện sản Hải Dương điều trị tiếp.

2. BÀN LUẬN - ĐÁI THÁO ĐƯỜNG THAI KỲ

- Đái tháo đường thai kỳ có xu hướng hay gặp ở những thai phụ sinh con khi lớn tuổi >35, tiền sử có hội chứng buồng trứng đa nang, sinh nhiều con, thừa cân, tiền căn gia đình có đái tháo đường, tiền căn sản khoa: sảy thai, thai lưu, sinh con to > 400gr. Đối chiếu với bệnh nhân trên thấy được có 1 lần thai lưu, tuổi mang thai 34 tuổi, không rõ tiền sử gia đình, không có tiền sử thừa cân béo phì và buồng trứng đa nang,..

- Thai phụ mắc đái tháo đường thai kỳ có thể làm gia tăng tỷ lệ sẩy thai, thai lưu, sinh non, tăng huyết áp trong thai kỳ, đa ối, nhiễm trùng tiết niệu, viêm đài bể
thận, mổ lấy thai. Về lâu dài, các thai phụ mắc đái tháo đường thai kỳ tăng nguy cơ tiến triển thành đái tháo đường type 2 và các biến chứng liên quan đặc biệt là biến chứng tim mạch nhỏ ảnh hưởng đến tim, thận, mắt: Đối chiếu bệnh nhân này có 1 lần sẩy thai, hiện tại nghi dị tật thai, XN nước tiểu có dấu hiệu bệnh lý liên quan đường tiết niệu ( protein, bạch cầu niệu).

- Đối với thai nhi và trẻ sơ sinh: đái tháo đường thai kỳ ảnh hưởng lên sự phát triển của thai nhi chủ yếu vào giai đoạn ba tháng đầu và ba tháng cuối thai kỳ. Giai đoạn 3 tháng đầu, thai có thể không phát triển, sảy thai tự nhiên, dị tật bẩm sinh, những thay đổi này thường xảy ra vào tuần thứ 6, thứ 7 của thai kỳ. Giai đoạn 3 tháng giữa, đặc biệt 3 tháng cuối thai kỳ có hiện tượng tăng tiết insulin của thai nhi, làm thai nhi tăng trưởng quá mức, vàng da sơ sinh, tăng hồng cầu, béo phì và đái tháo đường trẻ em. Đối chiếu thai phụ này có 1 lần sẩy thai có thể là hậu quả của dái tháo đường thai kỳ không được phát hiện và lần mang thai này đã nghi ngờ có dị tật thai.

3. KHUYẾN NGHỊ

Mọi phụ nữ trong độ tuổi sinh đẻ cần lưu ý các yếu tố nguy cơ sau khi có kế hoạch mang thai hoặc đang mang thai trong việc tầm soát đái tháo đường thai kỳ nhằm hạn chế rủi ro cho cả mẹ và thai bao gồm:

- Yếu tố thai phụ: lớn tuổi, nhiều con, béo phì trước khi có thai, tăng cân
quá mức trong thai kỳ, hội chứng buồng trứng đa nang.

- Tiền sử ĐTĐ trong gia đình thế hệ thứ nhất.

- Tiền sử sản khoa: thai lưu, sinh con to, đái tháo đường thai kỳ trong lần sinh trước.

- Các yếu tố trong thai kỳ: tăng huyết áp, đa thai.

TÀI LI ỆU THAM KHẢO

Bộ Y tế - vụ sức khoẻ bà mẹ và trẻ em (2018). “Hướng dẫn quốc gia dự phòng và kiểm soát đái tháo đường thai kỳ”. (Ban hành kèm theo Quyết định số 6173 /QĐ-BYT ngày 12 /10/2018 của Bộ trưởng Bộ Y tế).

Kích thước font In ấn

Bình luận chia sẻ

Tài liệu chuyên môn
Bài viết mới nhất
20/03/2026 / benhviendakhoatinhhaiduong
Ngày 19/3/2026, Ban Chấp hành Đoàn Thanh niên Bệnh viện Đa khoa Hải Dương đã tổ chức Chương trình hiến máu tình nguyện thiết thực chào mừng kỷ niệm 95 năm Ngày thành lập Đoàn Thanh niên Cộng sản Hồ Chí Minh (26/3/1931 – 26/3/2026).
06/03/2026 / benhviendakhoatinhhaiduong
Nhân kỷ niệm 116 năm Ngày Quốc tế Phụ nữ (08/3/1910 – 08/3/2026) và 1986 năm Cuộc khởi nghĩa Hai Bà Trưng, Bệnh viện Đa khoa Hải Dương trân trọng gửi lời tri ân và chúc mừng tới những người phụ nữ – những bông hoa đẹp của xã hội. Với sự dịu dàng, bản lĩnh và tận tâm, các nữ cán bộ, viên chức, người lao động của bệnh viện đã và đang đóng góp quan trọng trong sự nghiệp chăm sóc, bảo vệ sức khỏe nhân dân.
05/03/2026 / benhviendakhoatinhhaiduong
Trong dòng chảy bền bỉ của thời gian, có những giá trị không bao giờ phai nhạt – đó là sự trân trọng đối với các thế hệ đi trước. Hòa trong không khí ấm áp của Xuân Bính Ngọ 2026, ngày 04/3/2026, Bệnh viện Đa khoa Hải Dương tổ chức buổi gặp mặt cán bộ hưu trí trong không khí trang trọng, ấm áp, như một lời tri ân sâu sắc gửi tới những người đã dành trọn tâm huyết cho sự phát triển của Bệnh viện.
28/02/2026 / benhviendakhoatinhhaiduong
“Lương y như từ mẫu” – người thầy thuốc không chỉ chữa bệnh bằng y thuật mà còn chăm sóc bằng tình thương của một người mẹ hiền. Trước mỗi sinh mệnh mong manh là trách nhiệm thiêng liêng, là sự tận tụy không quản ngày đêm, là những quyết định được đặt trên nền tảng cao nhất của y đức và lòng nhân ái. Sự tận tâm ấy không dừng lại ở chuyên môn, mà còn thể hiện qua từng ánh nhìn cảm thông, từng lời động viên chân thành, để người bệnh vững tin vượt qua thử thách và giành lại sự sống.
27/02/2026 / benhviendakhoatinhhaiduong
Nhân dịp kỷ niệm 71 năm Ngày Thầy thuốc Việt Nam (27/2/1955 – 27/2/2026), Bệnh viện Đa khoa Hải Dương trân trọng gửi tới toàn thể đội ngũ cán bộ, y bác sĩ, điều dưỡng, kỹ thuật viên, dược sĩ cùng toàn thể viên chức và người lao động trong ngành y tế lời chúc mừng tốt đẹp và tri ân sâu sắc nhất.
Tin đã đăng
TRANG TIN ĐIỆN TỬ BỆNH VIỆN ĐA KHOA HẢI DƯƠNG
 Địa chỉ : số 225 Nguyễn Lương Bằng, phường Lê Thanh Nghị, thành phố Hải Phòng
Điện thoại :(03203)890 205
Email: benhviendakhoatinhhaiduong@gmail.com
logo.png ® BỆNH VIỆN ĐA KHOA HẢI DƯƠNG
 Hết lòng phục vụ người bệnh và hành động vì sức khỏe cộng đồng

BỆNH VIỆN ĐA KHOA HẢI DƯƠNG giữ bản quyền nội dung cho website này.
Nghiêm cấm mọi sao chép bài viết mà không được sự đồng ý của tác giả.