I. ĐẠI CƯƠNG
Bệnh hay xảy ra vào mùa đông xuân
Bệnh lây truyền qua đường không khí, giọt bắn hoặc tiếp xúc trực tiếp với dịch tiết hô hấp.
Bệnh sởi có khả năng lây lan cao trong khoảng 4 ngày trước cho đến 4 ngày sau khi phát ban
Biểu hiện của bệnh sởi khá đa dạng, mức độ tùy từng trường hợp.
Hiện nay chưa có phương pháp điều trị sởi đặc hiệu . Tiêm vaccine phòng sởi là biện pháp ngăn ngừa bệnh hiệu quả.
II. DỊCH TỄ HỌC
Virus sởi chứa RNA sợi đơn thuộc chi Morbillilin và họ Paramyxoviridae , virus hình cầu, đường kính 120 – 250nm, với hai protein chính là hemagglutinin (H) và fusion (F) quan trọng trong đáp ứng miễn dịch. Kháng thể trung hòa chủ yếu tác động lên protein H, còn protein F giúp hạn chế sự phát triển vi rút. Theo WHO, virus Sởi được phân thành 8 nhóm (A-H) và 23 kiểu gen, hỗ trợ theo dõi sự lây lan dịch bệnh.

Cấu tạo virus sởi
III. DẤU HIỆU VÀ TRIỆU CHỨNG
3.1. Dấu hiệu lâm sàng
* Thể điển hình: Diễn biến lâm sàng thể điển hình qua 4 giai đoạn:
- Giai đoạn ủ bệnh: từ 7 - 21 ngày (TB 10 ngày), triệu chứng XH sau khi phơi nhiễm 10-14 ngày.
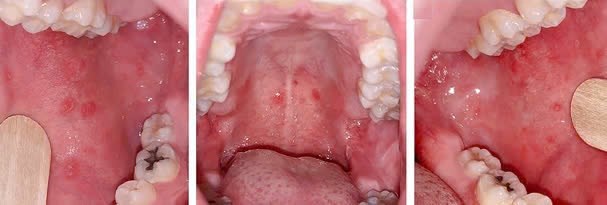
- Giai đoạn khởi phát (GĐ viêm long): trong 2 - 4 ngày. GĐ này BN sốt cao, viêm long đường HH trên và viêm kết mạc. Có thể thấy hạt Koplik là các hạt nhỏ có kích thước 0,5 - 1 mm màu trắng/xám có quầng ban đỏ nổi gồ lên trên bề mặt niêm mạc má (phía trong miệng, ngang răng hàm trên). Hạt Koplik thường xuất hiện một ngày trước phát ban và tồn tại 2 - 3 ngày sau khi ban xuất hiện.
- Giai đoạn toàn phát: Kéo dài 2 - 5 ngày. Sau khi sốt cao 3 - 4 ngày người bệnh bắt đầu phát ban dạng dát sẩn, khi căng da thì ban biến mất, xuất hiện từ sau tai, sau gáy, trán, mặt, cổ dần lan đến thân mình và tứ chi, cả ở lòng bàn tay và gan bàn chân. Ban có thể hợp lại đặc biệt là ở vùng mặt và thân mình. Khi ban mọc hết toàn thân thì thân nhiệt giảm dần.
- Giai đoạn hồi phục: Ban nhạt màu dần rồi sang màu xám, bong vảy phấn sẫm màu, để lại vết thâm vằn da hổ và biến mất theo thứ tự như khi xuất hiện. Nếu không xuất hiện biến chứng thì bệnh tự khỏi. Có thể có ho kéo dài 1 - 2 tuần sau khi hết ban.

Ban sởi điển hình

Hạt Koplik
* Thể không điển hình
- Biểu hiện lâm sàng có thể sốt nhẹ thoáng qua, viêm long nhẹ và phát ban ít, toàn trạng tốt. Thể này dễ bị bỏ qua, dẫn đến lây lan bệnh cho mọi người xung quanh mà không biết.
- Người bệnh cũng có thể sốt cao liên tục, phát ban không điển hình, phù nề tứ chi, đau mỏi toàn thân, thường có viêm phổi nặng kèm theo.
Nếu không xuất hiện biến chứng thì bệnh tự khỏi. Có thể có ho kéo dài 1 - 2 tuần sau khi hết ban
Các biến chứng có thể bao gồm:
- viêm kết mạc, viêm loét giác mạc
- viêm não
- tiêu chảy nặng và mất nước liên quan
- Viêm tai giữa
- viêm phổi
- Viêm thanh quản
- Nhiễm trùng huyết, sốc nhiễm trùng
Hầu hết các ca tử vong là do các biến chứng liên quan đến căn bệnh này.
Nếu một phụ nữ mắc bệnh sởi trong thời kỳ mang thai, có thể nguy hiểm cho người mẹ và có thể gây sinh non và cân nặng khi sinh của trẻ thấp.
Yếu tố làm bệnh nặng lên
- Trẻ < 12 tháng.
- Người chưa tiêm phòng vắc xin hoặc tiêm không đầy đủ.
- Suy giảm miễn dịch bẩm sinh hoặc mắc phải.
- Bệnh nền nặng.
- Suy dinh dưỡng nặng.
- Thiếu vitamin A.
- Phụ nữ mang thai.
3.2. Dấu hiệu cận lâm sàng
- Xét nghiệm huyết thanh học: Xét nghiệm IgM từ ngày thứ 3 sau khi phát ban. Nếu xét nghiệm IgM Sởi âm tính mà triệu chứng lâm sàng vẫn nghi ngờ Sởi thì có thể làm lại lần 2 sau 72 giờ, hoặc chỉ định PCR Sởi qua bệnh phẩm dịch tỵ hầu.
- Xét nghiệm PCR phát hiện vi rút Sởi: Chỉ định sớm trong giai đoạn viêm long hoặc trong 72 giờ đầu từ khi phát ban.
- Phân lập vi rút từ máu và dịch mũi họng trong giai đoạn sớm của bệnh.
IV. CHẨN ĐOÁN
4.1. Ca bệnh nghi ngờ : Ca bệnh nghi ngờ mắc sởi khi có các dấu hiệu sau:
- TS tiếp xúc với người bệnh sởi trong vòng 7-21 ngày hoặc sống trong vùng dịch sởi lưu hành.
- Triệu chứng lâm sàng nghi ngờ sởi (sốt và viêm long đường hô hấp trên).
4.2. Ca bệnh lâm sàng : CĐ ca bệnh sởi trên LS khi BN có các triệu chứng sau:
- Sốt. Ho, chảy nước mũi hoặc viêm kết mạc.
- Có hạt Koplik hoặc phát ban dạng sởi.
4.3. Chẩn đoán xác định
- Ca bệnh nghi ngờ hoặc ca bệnh lâm sàng mắc sởi, VÀ
- Có xét nghiệm kháng thể IgM hoặc PCR dương tính với sởi.
4.4. Chẩn đoán phân biệt
- Nhiễm Rubella
- Bệnh Kawasaki
- Nhiễm enterovirus
- Bệnh do Mycoplasma pneumoniae
- Bệnh sốt mò
- Ban dị ứng
- Nhiễm vi rút Epstein-Bar
4.5. Phân độ bệnh sởi
4.5.1. Sởi không biến chứng
- Tỉnh táo
- Ăn bú tốt
- Không khó thở
4.5.2. Sởi có biến chứng
|
- Viêm tai giữa
- Viêm thanh quản
- Viêm loét miệng
- Viêm phổi
- Tiêu chảy cấp
|
- Viêm não tủy rải rác cấp tính (ADEM)
- Nhiễm trùng huyết, sốc nhiễm trùng
- Viêm kết mạc, viêm loét giác mạc
- Viêm não xơ cứng toàn thể bán cấp thường sau 7-10 năm
|
V. ĐIỀU TRỊ
5.1. Nguyên tắc điều trị
- Điều trị theo phân loại và sàng lọc người bệnh sởi hoặc nghi ngờ sởi
- Cách ly ca bệnh ngay khi nghi ngờ mắc sởi
- Uống vitamin A liều cao
- Điều trị triệu chứng
- Phát hiện và điều trị sớm các biến chứng
- Đảm bảo dinh dưỡng Không sử dụng corticoid đường toàn thân khi chưa loại trừ sởi.
5.2. Điều trị cụ thể
5.2.1. Điều trị sởi không biến chứng
- Có thể điều trị ngoại trú.
- Cách ly ca bệnh tại nhà: nằm phòng riêng, hạn chế tiếp xúc, đeo khẩu trang thường xuyên.
- Uống Vitamin A liều cao: tất cả trẻ bị Sởi với hai liều cách nhau 24 giờ. Nếu có dấu hiệu thiếu Vitamin A hoặc suy dinh dưỡng nặng, bổ sung liều thứ ba sau 4-6 tuần.
• Điều trị triệu chứng và nâng đỡ
- Paracetamol uống hoặc nhét hậu môn 10 – 15 mg/kg x 4 lần/ngày hoặc Ibuprofen uống liều 5-10 mg/kg/lần x 3 lần/ngày nếu sốt > 38,5oC
- Lau mát khi sốt co giật: 3 vị trí: trán, 2 nách, 2 bên bẹn
- Dinh dưỡng đầy đủ theo lứa tuổi, tiếp tục bú mẹ Vệ sinh da, mắt, mũi, miệng
- Tái khám mỗi 2-3 ngày cho đến khi hết sốt hoặc khám lại ngay khi có dấu hiệu nặng
• Hướng dẫn dấu hiệu nặng cần tái khám ngay: Người bệnh cần tái khám ngay khi có ≥ 1 dấu hiệu:
- Không ăn uống được hoặc bỏ bú
- Nôn mọi thứ
- Tím tái
- Thở nhanh
- Rối loạn tri giác
• Hướng dẫn khác:
- Phòng ngừa lây nhiễm chéo: Không đến nơi công cộng, nghỉ học 4 ngày sau phát ban
- Tiêm vaccine sởi cho người phơi nhiễm vơi sởi
5.2.2. Điều trị sởi có biến chứng
Xem xét nhập viện điều trị cho ca bệnh sởi có biến chứng.
Tất cả người bệnh sởi nhập viện:
- Đảm bảo khu vực điều trị bệnh sởi là khu cách ly riêng theo quy định, người bệnh tuân thủ theo hướng dẫn phòng ngừa chuẩn.
- Hỗ trợ hô hấp khi suy hô hấp
- Uống vitamin A liều cao: phần điều trị bệnh sởi không biến chứng
- Dinh dưỡng đầy đủ
- Chăm sóc tai, mắt, mũi, miệng, da.
Điều trị các biến chứng theo phác đồ Bộ y tế.
VI. PHÒNG BỆNH
- Không nên tiếp xúc với người bệnh Sởi. Nếu bắt buộc phải tiếp xúc: mang khẩu trang và vệ sinh tay sau khi tiếp xúc với người bệnh.
- Vệ sinh môi trường ,vệ sinh thường xuyên các bề mặt tiếp xúc.
- Tuyên truyền tăng cường vệ sinh thân thể, mũi họng, giữ ấm, nâng cao thể trạng
- Tiêm vaccine phòng sởi là biện pháp ngăn ngừa bệnh hiệu quả.
- Tiêm vắc xin cho trẻ > 9 tháng tuổi,người có tiền sử khỏe mạnh chưa tiêm vắc xin Sởi hoặc đã tiêm được 1 mũi trên 28 ngày.
TÀI LIỆU THAM KHẢO
1. Bộ Y tế (2025), “ Quyết định 1019/QĐ-BYT về việc ban hành tài liệu chuyên môn hướng dẫn chẩn đoán và điều trị bệnh Sởi”.
2. Bệnh viện Nhi trung ương (2020), “ Hướng dẫn chẩn đoán và điều trị bệnh trẻ em ( Cập nhật năm 2020)”, tr 277-281.