Trang chủ / Kỹ thuật đã triển khai

UNG THƯ ĐẠI TRỰC TRÀNG VÀ KỸ THUẬT NỘI SOI CHẨN ĐOÁN SỚM

20/06/2022 (GMT+7)
Ung thư đại - trực tràng  (Colon Cancer) là một trong những bệnh ung thư phổ biến trên thế giới. Theo thống kê  năm 2012 của Globocan, ung thư đại trực tràng đứng thứ 3 về tỷ lệ mắc (10%) và thứ 4 về tỷ lệ tử vong (8,5%) do ung thư. Ở Mỹ, ung thư đại trực tràng đứng hàng thứ tư về tỷ lệ mắc và thứ 2 về tỷ lệ tử vong. Tại Việt Nam, ung thư đại trực tràng nằm trong số 10 bệnh ung thư thường gặp, có xu hướng gia tăng. Tỷ lệ mắc chuẩn theo tuổi là 10,1/100.000 dân, đứng hàng thứ sáu trong các bệnh ung thư của cả 2 giới.

1. TRIỆU CHỨNG LÂM SÀNG CỦA UNG THƯ ĐẠI TRỰC TRÀNG

   Triệu chứng lâm sàng của bệnh nhân  ung thư đại trực tràng  thường nghèo nàn, âm thầm và thường có ở rất nhiều bệnh khác nhau. Các triệu chứng tuy không đặc hiệu cho bệnh nhân  nhưng dù sao cũng là những triệu chứng gợi ý, có giá trị cho việc xác định làm các thăm dò cần thiết để quyết định chẩn đoán.

   Có thể gặp các triệu chứng sau:

- Đi ngoài phân có máu: là triệu chứng thường gặp nhất, có giá trị gợi ý chẩn đoán ung thư đại trực tràng. Có thể thấy máu tươi thành vệt trên khuôn phân, hay loang ra khuôn phân, hoặc phân lẫn nhày máu màu nâu, màu đen hoặc lờ lờ máu cá. Triệu chứng càng có giá trị khi phân mềm hoặc nhão mà có máu kèm theo.  Chảy máu có thể ở nhiều mức độ khác nhau: có thể máu chảy ít chỉ ở mức độ vi thể, có thể chảy máu mức độ vừa phải, thậm chí có trường hợp chảy máu nặng gây mất máu nghiêm trọng.

- Đại tiện phân lỏng: đi ngoài ngày nhiều lần, có khi xuất hiện đau quặn, mót dặn nên dễ chẩn đoán nhầm với hội chứng lỵ.

- Đau bụng: cũng thường gặp trong ung thư đại trực tràng,Táo bón, mệt mỏi không rõ nguyên nhân, chán ăn sụt cân

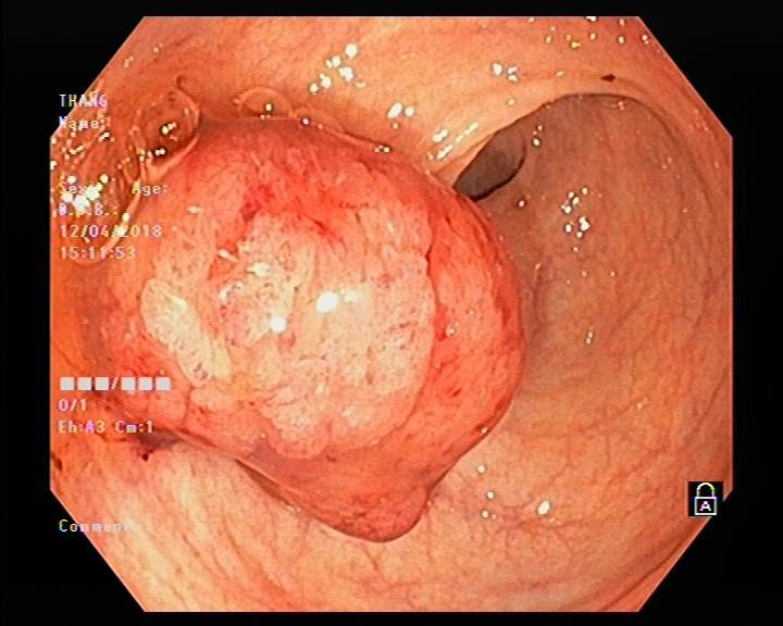
Polyp u tuyến

Hình ảnh NBI type III

 

 

2. NGUYÊN NHÂN GÂY BỆNH UNG THƯ ĐẠI TRỰC TRÀNG

   Nguyên nhân chính xác gây ra ung thư vẫn không được biết rõ. Tuy nhiên, có những yếu tố làm tăng nguy cơ ung thư đại trực tràng. Một số yếu tố nguy cơ mắc bệnh ung thư đại trực tràng là ngoài tầm kiểm soát của bạn.

   Các yếu tố nguy cơ không thể kiểm soát bao gồm:

   Bệnh viêm đường ruột (IBD bao gồm viêm loét đại trực tràng và bệnh Crohn)

Polyp đại tràng

Tuổi trên 50

Tiền sử gia đình mắc bệnh ung thư đại trực tràng

Tiền sử ung thư vú hoặc ung thư buồng trứng

Tuy nhiên, có những yếu tố nguy cơ khác mà bạn có thể kiểm soát. Các yếu tố nguy cơ sau đây có thể được điều chỉnh: Ăn chế độ ăn nhiều thịt đỏ hoặc chế biến, hoặc ăn thịt nấu chín ở nhiệt độ cao

Thừa cân hoặc béo phì

Tập thể dục không đầy đủ

Hút thuốc lá

Uống rượu

3. TẦM SOÁT UNG THƯ ĐẠI TRỰC TRÀNG NHƯ THẾ NÀO?

   Chế độ ăn uống nhiều chất xơ, ngủ đủ, tập thể dục và kiểm soát chất béo cơ thể có thể ngăn chặn 45% ung thư đại trực tràng. Ngoài ra, tầm soát ung thư định kỳ 6 tháng/lần là cách để phát hiện bệnh ở giai đoạn sớm.

   Tầm soát rất quan trọng vì ung thư đại trực tràng ở giai đoạn đầu thường không có bất kỳ triệu chứng nào. Tầm soát có thể phát hiện bệnh ung thư trước khi nó gây ra các triệu chứng, khi cơ hội có thể chữa khỏi được nhiều nhất. .

   Khuyến cáo hầu hết mọi người ≥ 50 tuổi nên nội soi đại tràng để phát hiện ung thư ở giai đoạn sớm.

   Nội soi đại tràng ống mềm là một phương pháp thăm dò chức năng rất có giá trị để chẩn đoán xác định bệnh lý ung thư đại trực tràng, góp phần đắc lực cho chẩn đoán sớm và điều trị, đặc biệt phát hiện bệnh lý polyp cũng như can thiệp cắt polyp qua nội soi. Tuy nhiên kỹ thuật nội soi đại tràng tương đối khó, đòi hỏi thầy thuốc có kinh nghiệm và được đào tạo kỹ thuật nội soi thành thạo.

  Tại Bệnh viện Đa khoa tỉnh nội soi đại tràng ống mềm đã được đưa vào thực hiện trong nhiều năm khoa. Khoa Thăm dò chức năng được trang bị máy nội soi thế hệ mới, hiện đại có ứng dụng công nghệ nhuộm màu nội soi dải tần hẹp (NBI) góp phần vào công tác chẩn đoán và điều trị, đồng thời trong quá trình nội soi có thể quan sát trực tiếp niêm mạc đại tràng, phát hiện sớm ung thư đại trực tràng và đặc biệt có thể can thiệp cắt polyp qua nội soi không đau, không chảy máu.

Dàn nội soi

Kích thước font In ấn

Bình luận chia sẻ

Kỹ thuật đã triển khai
Bài viết mới nhất
20/03/2026 / benhviendakhoatinhhaiduong
Ngày 19/3/2026, Ban Chấp hành Đoàn Thanh niên Bệnh viện Đa khoa Hải Dương đã tổ chức Chương trình hiến máu tình nguyện thiết thực chào mừng kỷ niệm 95 năm Ngày thành lập Đoàn Thanh niên Cộng sản Hồ Chí Minh (26/3/1931 – 26/3/2026).
06/03/2026 / benhviendakhoatinhhaiduong
Nhân kỷ niệm 116 năm Ngày Quốc tế Phụ nữ (08/3/1910 – 08/3/2026) và 1986 năm Cuộc khởi nghĩa Hai Bà Trưng, Bệnh viện Đa khoa Hải Dương trân trọng gửi lời tri ân và chúc mừng tới những người phụ nữ – những bông hoa đẹp của xã hội. Với sự dịu dàng, bản lĩnh và tận tâm, các nữ cán bộ, viên chức, người lao động của bệnh viện đã và đang đóng góp quan trọng trong sự nghiệp chăm sóc, bảo vệ sức khỏe nhân dân.
05/03/2026 / benhviendakhoatinhhaiduong
Trong dòng chảy bền bỉ của thời gian, có những giá trị không bao giờ phai nhạt – đó là sự trân trọng đối với các thế hệ đi trước. Hòa trong không khí ấm áp của Xuân Bính Ngọ 2026, ngày 04/3/2026, Bệnh viện Đa khoa Hải Dương tổ chức buổi gặp mặt cán bộ hưu trí trong không khí trang trọng, ấm áp, như một lời tri ân sâu sắc gửi tới những người đã dành trọn tâm huyết cho sự phát triển của Bệnh viện.
28/02/2026 / benhviendakhoatinhhaiduong
“Lương y như từ mẫu” – người thầy thuốc không chỉ chữa bệnh bằng y thuật mà còn chăm sóc bằng tình thương của một người mẹ hiền. Trước mỗi sinh mệnh mong manh là trách nhiệm thiêng liêng, là sự tận tụy không quản ngày đêm, là những quyết định được đặt trên nền tảng cao nhất của y đức và lòng nhân ái. Sự tận tâm ấy không dừng lại ở chuyên môn, mà còn thể hiện qua từng ánh nhìn cảm thông, từng lời động viên chân thành, để người bệnh vững tin vượt qua thử thách và giành lại sự sống.
27/02/2026 / benhviendakhoatinhhaiduong
Nhân dịp kỷ niệm 71 năm Ngày Thầy thuốc Việt Nam (27/2/1955 – 27/2/2026), Bệnh viện Đa khoa Hải Dương trân trọng gửi tới toàn thể đội ngũ cán bộ, y bác sĩ, điều dưỡng, kỹ thuật viên, dược sĩ cùng toàn thể viên chức và người lao động trong ngành y tế lời chúc mừng tốt đẹp và tri ân sâu sắc nhất.
Tin đã đăng
TRANG TIN ĐIỆN TỬ BỆNH VIỆN ĐA KHOA HẢI DƯƠNG
 Địa chỉ : số 225 Nguyễn Lương Bằng, phường Lê Thanh Nghị, thành phố Hải Phòng
Điện thoại :(03203)890 205
Email: benhviendakhoatinhhaiduong@gmail.com
logo.png ® BỆNH VIỆN ĐA KHOA HẢI DƯƠNG
 Hết lòng phục vụ người bệnh và hành động vì sức khỏe cộng đồng

BỆNH VIỆN ĐA KHOA HẢI DƯƠNG giữ bản quyền nội dung cho website này.
Nghiêm cấm mọi sao chép bài viết mà không được sự đồng ý của tác giả.