Trang chủ / Kỹ thuật đã triển khai

Phẫu thuật lấy sỏi ống mật chủ sử dụng laser tán sỏi đường mật trong ngoài gan bằng ống soi mềm trong mổ

13/01/2026 (GMT+7)
Phẫu thuật điều trị sỏi đường mật sử dụng laser tan sỏi trong mổ đã được triển khai lần đầu tiên tại Bệnh viện Đa khoa Hải Dương. Để nâng cao chất lượng điều trị, giúp người bệnh có thể lấy tối đa sỏi đường mật, vị trí mà các dụng cụ lấy sỏi thông thường không thể lấy được, các bác sĩ khoa Ngoại tiêu hóa ổ bụng đã thực hiện phẫu thuật mở ống mật chủ lấy sỏi kết hợp sử dụng laser tán sỏi và ống soi mềm trong điều trị sỏi ống mật chủ, sỏi đường mật trong gan giúp kiểm soát hiệu quả đường mật trong ngoài gan, đảm bảo sạch sỏi triệt để, lưu thông mật ruột tốt, không phải đặt dẫn lưu đường mật kéo

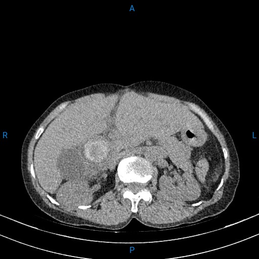
   Vừa qua, các Bác sĩ Bệnh viện Đa khoa Hải Dương đã thực hiện phẫu thuật cho một trường hợp bệnh nhân Trương Thị T. (62 tuổi) ở Hòa Bình, Xã Thanh Miện, Thành phố Hải Phòng có tiền sử mổ sỏi mật 3 lần. Gần đây, Bệnh nhân ở nhà mệt mỏi, ăn uống kém, đau âm ỉ vùng thượng vị và hạ sườn phải, vàng da, củng mạc vàng nên đến viện kiểm tra. Qua thăm khám và chụp cắt lớp vi tính, các Bác sĩ thấy đường mật trong ngoài gan giãn nhiều, ống mật chủ giãn 27mm có nhiều sỏi, sỏi lớn nhất kích thước 38x 31mm, sỏi lớn đường mật gan phải kích thước 22x17mm, sỏi lớn đường mật gan trái 26x15mm. Bệnh nhân được chẩn đoán nhiễm trùng đường mật do sỏi. Hội chẩn đánh giá bệnh nhân có sỏi ống mật chủ to, nhiều sỏi đường mật trong gan, chỉ định phẫu thuật mở ống mật chủ lấy sỏi và nội soi đường mật trong mổ ống mềm kết hợp tán laser sỏi đường mật trong gan.

 Hình chụp cắt lớp vi tính sỏi ống mật chủ của bệnh nhân T.

   Kíp mổ khoa Ngoại do bác sĩ CKII. Trần Văn Vinh, Phó Trưởng khoa Ngoại tiêu hóa ổ bụng phụ trách phối hợp khoa Gây mê hồi sức thực hiện. Bệnh nhân được mở bụng cắt bỏ sẹo mổ cũ, do bệnh nhân đã mổ 3 lần nên ổ bụng và các tạng các quai ruột – dạ dày – gan mật dính rất nhiều lên vết mổ cũ, bệnh nhân đã được gỡ dính bộc lộ ống mật chủ. Kíp mổ tiến hành mở ống mật chủ lấy sỏi ống mật chủ .Bác sĩ đưa ống soi mềm qua chỗ mở để thăm dò, xác định vị trí sỏi trong gan, sau đó dùng máy laser tán sỏi và đưa ra ngoài. Tiếp tục sử dụng ống soi mềm kiểm tra kỹ đường mật ngoài gan sạch sỏi, đảm bảo lưu thông mật ruột, tránh tình trạng sót sỏi gây tái viêm, khâu lại ống mật chủ, đặt dẫn lưu Kehr + đặt dẫn lưu dưới gan. Hiện tại sau mổ ngày thứ 2, sức khoẻ bệnh nhân phục hồi tích cực, tình trạng vàng da, đau hạ sườn phải cải thiện nhiều, bệnh nhân đã tự ăn uống đi lại.

   Trước đây, khi chưa có ống soi mềm + laser tán sỏi, việc tiếp cận các viên sỏi ở sâu đường mật trong gan là rất khó khăn, hầu như không thể lấy được bằng các dụng cụ lấy sỏi thông thường. Việc có ống soi mềm + hệ thống tán sỏi laser đã giúp cho việc kiểm soát toàn bộ các nhánh đường mật đảm bảo tán sạch sỏi và không còn sót sỏi sau mổ, kiểm tra đường mật lưu thông tốt xuống tá tràng. Với những trường hợp bệnh nhân có nhiều sỏi đường mật trong gan mà tán một lần không hết có thể đặt dẫn lưu kehr, tạo đường hầm để tán sỏi cho lần tiếp theo mà bệnh nhân không phải chịu thêm một lần rạch da nữa.


Hình ảnh tán sỏi bệnh nhân trong mổ

   Với phương pháp này, với những bệnh nhân có sỏi ống mật chủ đơn thuần mà chưa có tiền sử mổ đường giữa trên rốn, bệnh nhân có thể phẫu thuật nội soi lấy sỏi đường mật kết hợp nội soi đường mật ống mềm trong mổ giúp tránh tình trạng sót sỏi sau mổ, có thể khâu kín đường mật mà không cần đặt dẫn lưu Kehr, chỉ cần đặt dẫn lưu dưới gan, bệnh nhân hồi phục nhanh hơn, ít đau sau mổ, giảm nguy cơ nhiễm trùng do đường hầm kehr mang về, giảm thời gian nằm viện, tiết kiệm chi phí điều trị cho bệnh nhân. Khoa Ngoại tiêu hóa ổ bụng cũng đã triển khai thành công kỹ thuật ít xâm lấn này bệnh nhân nhiễm trùng đường mật, tắc mật do sỏi ống mật chủ

   Để triển khai hiệu quả kỹ thuật này, kíp bác sĩ ngoại khoa đã sử dụng máy tán sỏi laser hiện đại, đồng thời tận dụng triệt để thiết bị ống soi mềm từ chuyên khoa khác, cùng với đó là đội ngũ chuyên môn giàu kinh nghiệm trong phẫu thuật nội soi. Việc triển khai thành công phẫu thuật này là đã hoàn thiện thêm các kỹ thuật xử lý các loại sỏi mật trong điều trị ngoại khoa của Bệnh viện Đa khoa Hải Dương, hỗ trợ bổ sung và khắc phục những hạn chế của các phương pháp khác nhằm mang lại kết quả điều trị tốt nhất cho người bệnh. Điều này sẽ làm tiết kiệm đáng kể chi phí cho bệnh nhân trên địa bàn tỉnh có thể thụ hưởng khám chữa bệnh kỹ thuật cao ngay tại tỉnh nhà mà không phải lên tuyến trung ương.

   Tắc mật do sỏi ống mật chủ có thể gây ra rất nhiều biến chứng nguy hiểm trong đó có những biến chứng đe dọa tính mạng, như: xơ và suy gan, viêm tụy, viêm phúc mạc, nhiễm trùng đường mật, nhiễm khuẩn huyết… Vì vậy để phòng bệnh sỏi mật và hạn chế sỏi tái phát, bác sĩ khuyến cáo chế độ ăn uống, sinh hoạt hợp lý, thường xuyên vận động, tẩy giun định kỳ, khi có nhiễm trùng đường tiêu hóa phải điều trị triệt để, nên siêu âm gan mật định kỳ nhằm phát hiện sớm sỏi mật, nhất là bệnh nhân đã có tiền sử điều trị bệnh sỏi mật. Nếu có những dấu hiệu đau vùng hạ sườn phải lan lên vai phải hoặc ra sau lưng, kèm theo sốt cao lạnh run và vàng da, vàng mắt thì cần đến cơ sở y tế có đủ điều kiện phương tiện để được phát hiện và điều trị kịp thời

   Hiện nay, bệnh lý ngoại khoa ổ bụng rất đa dạng và có nhiều trường hợp rất đặc biệt. Việc chẩn đoán sớm và điều trị kịp thời sẽ đem lại nhiều lợi ích cho người bệnh, giúp người bệnh tránh được những biến chứng và sớm phục hồi sức khỏe. Với sự phát triển của y học cùng các trang thiết bị ngày càng hiện đại, khoa Ngoại tiêu hóa ổ bụng bệnh viện Đa Khoa Hải Dương ngày càng phát triển nhiều kỹ thuật mổ khó, nhiều kĩ thuật can thiệp xâm lấn tối thiểu ngang tầm với các bệnh viện trong khu vực và tuyến cuối. Như phẫu thuật cắt dạ dày, đại tràng, cắt túi mật, chửa ngoài tử cung, u nang buồng trứng, thoát vị bẹn người lớn hay trẻ em đều thực hiện bằng phẫu thuật nội soi cùng với trang thiết bị hiện đại như máy tán sỏi Laser, dao siêu âm, stapler cắt nối ruột trực tiếp... mang lại nhiều lợi ích cho người dân trong khu vực.

Bác sĩ CKII. Trần Văn Vinh

Phó trưởng khoa Ngoại tiêu hóa ổ bụng

Kích thước font In ấn

Bình luận chia sẻ

Kỹ thuật đã triển khai
Bài viết mới nhất
20/03/2026 / benhviendakhoatinhhaiduong
Ngày 19/3/2026, Ban Chấp hành Đoàn Thanh niên Bệnh viện Đa khoa Hải Dương đã tổ chức Chương trình hiến máu tình nguyện thiết thực chào mừng kỷ niệm 95 năm Ngày thành lập Đoàn Thanh niên Cộng sản Hồ Chí Minh (26/3/1931 – 26/3/2026).
06/03/2026 / benhviendakhoatinhhaiduong
Nhân kỷ niệm 116 năm Ngày Quốc tế Phụ nữ (08/3/1910 – 08/3/2026) và 1986 năm Cuộc khởi nghĩa Hai Bà Trưng, Bệnh viện Đa khoa Hải Dương trân trọng gửi lời tri ân và chúc mừng tới những người phụ nữ – những bông hoa đẹp của xã hội. Với sự dịu dàng, bản lĩnh và tận tâm, các nữ cán bộ, viên chức, người lao động của bệnh viện đã và đang đóng góp quan trọng trong sự nghiệp chăm sóc, bảo vệ sức khỏe nhân dân.
05/03/2026 / benhviendakhoatinhhaiduong
Trong dòng chảy bền bỉ của thời gian, có những giá trị không bao giờ phai nhạt – đó là sự trân trọng đối với các thế hệ đi trước. Hòa trong không khí ấm áp của Xuân Bính Ngọ 2026, ngày 04/3/2026, Bệnh viện Đa khoa Hải Dương tổ chức buổi gặp mặt cán bộ hưu trí trong không khí trang trọng, ấm áp, như một lời tri ân sâu sắc gửi tới những người đã dành trọn tâm huyết cho sự phát triển của Bệnh viện.
28/02/2026 / benhviendakhoatinhhaiduong
“Lương y như từ mẫu” – người thầy thuốc không chỉ chữa bệnh bằng y thuật mà còn chăm sóc bằng tình thương của một người mẹ hiền. Trước mỗi sinh mệnh mong manh là trách nhiệm thiêng liêng, là sự tận tụy không quản ngày đêm, là những quyết định được đặt trên nền tảng cao nhất của y đức và lòng nhân ái. Sự tận tâm ấy không dừng lại ở chuyên môn, mà còn thể hiện qua từng ánh nhìn cảm thông, từng lời động viên chân thành, để người bệnh vững tin vượt qua thử thách và giành lại sự sống.
27/02/2026 / benhviendakhoatinhhaiduong
Nhân dịp kỷ niệm 71 năm Ngày Thầy thuốc Việt Nam (27/2/1955 – 27/2/2026), Bệnh viện Đa khoa Hải Dương trân trọng gửi tới toàn thể đội ngũ cán bộ, y bác sĩ, điều dưỡng, kỹ thuật viên, dược sĩ cùng toàn thể viên chức và người lao động trong ngành y tế lời chúc mừng tốt đẹp và tri ân sâu sắc nhất.
Tin đã đăng
TRANG TIN ĐIỆN TỬ BỆNH VIỆN ĐA KHOA HẢI DƯƠNG
 Địa chỉ : số 225 Nguyễn Lương Bằng, phường Lê Thanh Nghị, thành phố Hải Phòng
Điện thoại :(03203)890 205
Email: benhviendakhoatinhhaiduong@gmail.com
logo.png ® BỆNH VIỆN ĐA KHOA HẢI DƯƠNG
 Hết lòng phục vụ người bệnh và hành động vì sức khỏe cộng đồng

BỆNH VIỆN ĐA KHOA HẢI DƯƠNG giữ bản quyền nội dung cho website này.
Nghiêm cấm mọi sao chép bài viết mà không được sự đồng ý của tác giả.