Tắc ruột non do thoát vị nội không phổ biến, khoảng 0,25 đến 0,9% tổng số các trường hợp. Nhóm phổ biến nhất trong thoát vị nội là thoát vị cạnh tá tràng (53%), bao gồm 2 loại : thoát vị cạnh trái chủ yếu(75%) ít hơn là thoát vị cạnh phải tá tràng (25%). Những thoát vị này có nguyên nhân do tắc ruột non qua hố dưới tá tràng và nên được nghĩ đến trong trường hợp bệnh nhân không có tiền sử phẫu thuật và lâm sàng có tình trạng tắc ruột.
Chúng tôi xin báo cáo một trường hợp lâm sàng bệnh nhân nữ 51t vào viện vì đau dữ dội vùng thượng vị và hạ sườn trái ngày thứ nhất kèm theo có nôn buồn nôn. Bệnh nhân được khám tại bệnh viện huyện không đỡ chuyển lên bệnh viện tỉnh trong tình trạng đau và nôn liên tục. Khám lâm sàng bệnh nhân mạch huyết áp ổn định, bụng chướng nhẹ vùng thượng vị và HST, không có phản ứng thành bụng. Tiền sử không có phẫu thuật hoặc bệnh lý về đông máu hoặc tim mạch.
Bệnh nhân được chụp Xquang bụng: các quai ruột non giãn lớn kèm mức hơi dịch.
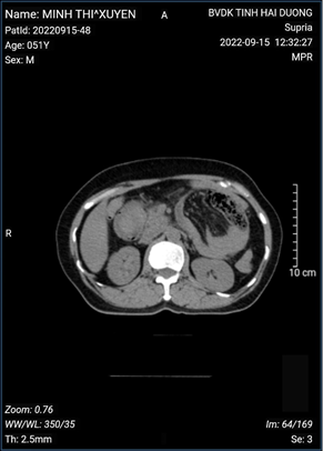
Chụp cắt lớp vi tính ổ bụng: các quai ruột non giãn kèm mức hơi dịch ( hình ảnh tắc ruột)


Bệnh nhân được chỉ định mổ cấp cứu 2h sau khi vào viện với chẩn đoán Tắc ruột non nghi do thoát vị nội
Trong quá trình phẫu thuật kiểm tra ổ bụng các quai ruột giãn, khoảng 1m hỗng tràng đầu tiên nằm chui toàn bộ trong túi thoát vị sau mạc treo tràng dưới. Sau khi được giải phóng, đoạn ruột thoát vị không thấy thiếu máu, không thấy bất thường về giải phẫu của đại tràng ngang cũng như đại tràng xuống. Sau đó túi thoát vị được khâu kín lại bằng chỉ Vicryl 3/0 giữa cổ túi và quai hỗng tràng đầu tiên. Chúng tôi không đặt dẫn lưu. Bệnh nhân trung tiện vào ngày thứ 2 và ra viện sau 7 ngày mà k có biến chứng gì bất thường.


Bàn luận
Thoát vị bên trái tá tràng là một dị tật bẩm sịnh chỉ chiếm khoảng 30-53% thoát vị nội, thông thường gặp ở nam giới nhiều hơn phụ nữ( tỉ lệ 3:1). Giả thiết được lí giải nguyên nhân thoát vị trái tá tràng là do bẩm sinh phát sinh trong quá trình quay của đường tiêu hóa, khi ruột non chui và đoạn vô mạch của đại tràng ngang, tạo thành túi thoát vị Landzert ở bên trái D4 tá tràng, sau tĩnh mạch mạc treo tràng xuống.
Biểu hiện lâm sàng rất đa dạng: có thể hoàn toàn không triệu chứng trong suốt cuộc đời, hoặc đau bụng trên tái phát, hoặc các triệu chứng tắc ruột non. Chỉ 1/3 tổng số trường hợp sờ thấy khối nằm HST. Các xét nghiệm cơ bản chủ yếu phát hiện triệu chứng tắc ruột. Chụp CLVT là tiêu chuẩn để chẩn đoán thoát vị cạnh trái tá tràng với 1 số đặc điểm liên quan tới khối thoát vị: một cụm các quai ruột non, một khối giống túi bọc có màng ở ngang mức góc Treitz, một khối đè vào thành dạ dày.
Điều trị phẫu thuật là phương án duy nhất và bắt buộc vì nguy cơ thoát vị nghẹt hoặc các biến chứng cấp tính có thể làm tỉ lệ tử vong lên đến 20 – 50%. Về cơ bản phẫu thuật sẽ giải phóng tạng thoát vị và đóng lại bao thoát vị. Việc bóc bao thoát vị không được khuyến cáo vì nguy cơ tổn thương mạch đại tràng.
Tóm lại, thoát vị cạnh trái tá tràng là một nguyên nhân hiếm gặp gây tắc ruột non nên được nghĩ đến trong trường hợp bệnh nhân tiền sử đau bụng tái phát hoặc tắc ruột, không có phẫu thuật trước đó. CLVT là tiêu chuẩn để chẩn đoán chính xác. Như trong trường hợp của chúng tôi, chẩn đoán và phẫu thuật sớm có thể làm giảm nguy cơ các biến chứng cấp tính như tắc nghẽn, hoại tử hay thủng ruột. Phẫu thuật nên được đặt ra ngay cả các trường hợp không triệu chứng.
BS Nguyễn Ngọc Tuấn
Khoa Ngoại Tiêu hóa – Gan mật