NHÂN MỘT TRƯỜNG HỢP UNG THƯ SẮC TỐ DA CÓ LOÉT NHIỄM TRÙNG GÓT CHÂN TRÁI Ở BỆNH NHÂN ĐÁI THÁO ĐƯỜNG TYPE 2 TẠI BỆNH VIỆN ĐA KHOA TỈNH HẢI DƯƠNG
(CASE REPORT: MELANOMA SKIN CANCER WITH INFECTION AND ULCER AT THE LEFT HEEL IN TYPE 2 DIABETES MELLITUS AT THE HAI DƯƠNG GENERAL HOSPITAL)
| | Nguyễn Hữu Thắng, Vũ Văn Nguyên, Vũ Thị Hải, Phạm Thị Nga |
TÓM TẮT
Mục tiêu: Mô tả ca bệnh ung thư sắc tố da có loét, nhiễm trùng gót chân trái ở bệnh nhân ĐTĐ type 2 và bàn luận một số vấn đề liên quan.
Ca lâm sàng: Bệnh nhân nữ 62 tuổi, ĐTĐ type 2 phát hiện được 8 năm, THA được 4 năm, có chị gái bị ĐTĐ type 2. Loét nhiễm trùng gót chân trái kéo dài 3 năm. Hiện tại ổ loét 2B (Meggit - Wagner), được chẩn đoán ung thư sắc tố da giai đoạn T3bN0M0. Xử trí phẫu thuật cắt bỏ khối u vá da tự thân, bệnh tiến triển tốt.
Bàn luận và kết luận: Biến chứng bàn chân ở bệnh nhân ĐTĐ là biểu hiện thường gặp, bệnh nhân không có kiến thức về khám chăm sóc bàn chân và thường tự xử trí khi mới bị làm cho vết thương trở nên phức tạp. Bác sỹ lâm sàng dễ bỏ sót chẩn đoán một tổn thương ung thư da phối hợp do chủ quan không nghĩ tới, nhất là các thầy thuốc ở nơi tiếp nhân ban đầu. Điều trị muộn, kéo dài và tốn kém.
SUMMARY
Background/Aim: Describe the clinical case of melanoma skin cancer with left heel ulcer and infection in type 2 diabetic patient and discussing some problems.
Case report: A 62 years old patient, the history of diabetes 8 years, hypertension 4 years, older sister with diabetes too. Left heel ulcer and infection during 3 years. 2B degree (Meggit - Wagner), diagnosed with melanoma skin cancer T3bN0M0. Treated by cutting the tumor and implanting herseft skin. The wound developed well.
Discussion and conclusion: Foot complication in diabetes is common, the patient didn't have knowledge about foot care, she herself treated then wound became seriously. Physician examined first didn't think about a melanoma skin cancer. Treatement lately, during and cost.
CHI TIẾT (fulltext)
I. ĐẶT VẤN ĐỀ
Đái tháo đường (ĐTĐ) là bệnh lý phổ biến, mạn tính, là nguyên nhân quan trọng gây tử vong và tàn phế trong cơ cấu bệnh tật hiện nay [6].
Ước tính năm 2014, toàn cầu có 422 triệu người bị ĐTĐ [6].
Nguy cơ bị loét bàn chân ở người ĐTĐ là 15%. ĐTĐ là nguyên nhân của trên 80% trường hợp cắt cụt chi không do chấn thương [9], [3].
Cứ 30 giây thế giới có một người bị cắt cụt chân do ĐTĐ [9].
Bởi vậy ở bệnh nhân ĐTĐ khi thấy một vết loét, người bệnh cũng như thầy thuốc thường chủ quan cho rằng đó là một biến chứng của bệnh mà bỏ qua một số trường hợp là tổn thương ung thư [9].
Ung thư sắc tố da (melanoma skin cancer gọi tắt là melanoma) còn được gọi là bệnh sắc tố ác tính (maligement melanoma) hay u sắc tố da (cutanous melanoma). Bệnh hiếm gặp chỉ chiếm 1% trong số ung thư da nhưng là nguyên nhân tử vong chủ yếu trong số các loại ung thư da [2].
Hiệp hội ung thư học Mỹ thông báo: năm 2016 có khoảng 76,380 ca ung thư sắc tố mới mắc trong đó có 46,870 nam và 29,510 nữ, với 10,130 ca tử vong [2].
Vương Quốc Anh năm 2011 có 13,300 trường hợp ung thư sắc tố da tương đương với 37 người mỗi ngày [4].
Ở Châu Âu năm 2012 có 100,000 ca ung thư sắc tố mới phát hiện [4].
Trên phạm vi toàn cầu, năm 2012 có 232.000 bệnh nhân mới được chẩn đoán [4].
Có nhiều bằng chứng về sự liên quan giữa thừa cân béo phì và ĐTĐ với các bệnh ung thư [1].
Theo tác giả Qi Li and Qi Xiaoling, nghiên cứu phân tích cộng gộp từ 9 nghiên cứu thuần tập với 1,071,257 người, trong đó 1,876 bị ung thư sắc tố da cho thấy có sự tăng nhẹ tỷ lệ ung thư sắc tố ở bệnh nhân ĐTĐ type 2 so với người không bị ĐTĐ type 2 [4].
Tìm hiểu từ nhiều nguồn tài liệu và các tạp trí đăng tải trên mạng internet, chúng tôi nhận thấy có vài trường hợp cáo ca bệnh ung thư sắc tố da bàn chân có loét ở bệnh nhân ĐTĐ type 2, mới đây chúng tôi gặp một trường hợp bệnh nhân khá đặc biệt: ''Ung thư sắc tố da có loét và nhiễm trùng gót chân trái ở bệnh nhân ĐTĐ type 2 tại khoa nội tiết Bệnh viện đa khoa tỉnh Hải Dương''. Báo cáo ca bệnh này chúng tôi muốn nhằm hai mục tiêu:
1. Mô tả một ca bệnh đặc biệt.
2. Bàn luận một số vần đề liên quan.
II. CA BỆNH
Bệnh nhân nữ 62 tuổi, là cán bộ hưu trí, sống ở TP Hải Dương, nhập viện vì vết loét gót chân trái.
Tiền sử:
- ĐTĐ type 2 phát hiện điều trị được 8 năm, điều trị thuốc uống sau chuyển tiêm insulin 3 năm nay.
- Tăng huyết áp (THA) 4 năm điều trị 1 viên amlodipin.
- Không nghiện thuốc lá, thuốc lào, không nghiện rượu.
- Có chị gái bị bệnh ĐTĐ type 2.
- Không có tiền sử đẻ con to.
- Loét gót chân trái 3 năm.
Ban đầu là một đốm nhỏ, không đau, loét sùi khoảng 3mm (bằng hạt gạo).
Tự xử lý bằng cách dã củ tỏi đắp vào không đỡ, vết loét lan rộng dần, sau đó bệnh nhân tự sưu tầm đắp thuốc đông y liên tiếp trong 1 năm từ nhiều nguồn, vết loét sùi rộng dần, bắt đầu đau nhức, khó chịu, hạn chế vận động do đau.
Bệnh nhân nhập viện cắt lọc, điều trị kháng sinh và chiếu đèn hồng ngoại ở bệnh viện tuyến dưới không thấy hiệu quả.
Sáu tháng gần đây thấy vết loét sùi lan rộng nhanh, chảy nhiều dịch hôi, hạn chế vận động nhiều, ngày càng đau đớn, nhiều đợt nằm viện không đỡ.
Nhập khoa Nội tiết bệnh viện đa khoa tỉnh Hải Dương ngày 20/6/2016 trong tình trạng:
Tỉnh, không sốt: T° 37°C.
Mạch 80 lần/phút.
Huyết áp (HA) 130/80 mmHg.
Nhịp thở 18 lần/phút.
Chỉ số khối cơ thể (body mass index: BMI) 27 kg/m².
Vết loét gót chân trái 3.5 x 4.0 cm, sùi, lồi khỏi mặt da 2m màu hồng, bờ nham nhở, xung quanh thâm đen, thấm dịch vàng, mùi hôi, đau tăng khi vận động.
Mạch mu chân, mạch chày sau, mạch kheo, đều rõ hai bên.
Da bàn chân ấm, lông chân đều hai bên.
Cảm giác đau, xúc giác, vị trí ngón bình thường.
Phản xạ gân xương chi dưới bình thường.
Không thấy biến dạng bàn chân và tổn thương móng ngoại trừ khối loét sùi.
Không sờ thấy hạch vùng và hạch xa.
Tim nhịp đều, không có tiếng bệnh lý.
Phổi rì rào phế nang đều rõ hai bên, không có rale.
Bụng mềm, không có u cục, gan lách không to.
Các bộ phận khác không thấy bất thường.
Các xét nghiệm cận lâm sàng:
| 1.CTM Thiếu máu nhẹ Bạch cầu không tăng | -HC: 3.84T/l. -Hb: 107g/l. -BC: 9.8 G/l -BCĐN:69.5%. -TC 466G/l. |
| 2.HS máu - Đường hyết đói tăng nhẹ - Mỡ máu thay đổi nhẹ | -ĐH:9.8 mmol/l. -Chol:4.0 mmol/l. -Tri:3.0 mmol/l. -HDL:1.1 mmol/l. -LDL:2.06 mmol/l. | -Ure:8.5 mmol/l. -Creat:113 µmol/l. -A.uric:544 µmol/l. -GOT:17 U/l. -GPT:16 U/l. |
| 3.HbA1c | 7.6%. | Kiểm soát tương đối |
4. Mô bệnh học: mảnh sinh thiết là mô u, gồm những đám tế bào biểu mô gợi hình ảnh đa diện tương đối đồng dạng với nhiều sắc thể thô, bào tương hợp, xen kẽ vùng hoại tử.
5. Cấy mủ: thấy mọc 3 chủng vi khuẩn (proteus, S.aureus, K. pneumoniae )
Kháng sinh đồ: còn nhạy một số nhóm kháng sinh ở cả 3 chủng vi khuẩn.
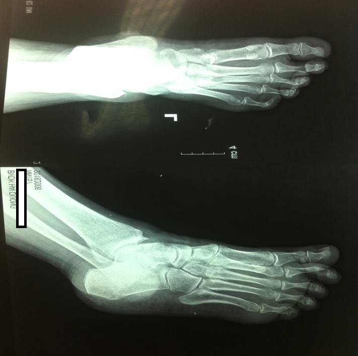
7. Chụp x quang xương bàn chân và lồng ngực: không thấy tổn thương.
8. Siêu âm Doppler mạch máu chi dưới: không thấy hẹp tắc.
9. Điện tâm đồ: bình thường.
10. Siêu âm ổ bụng: gan nhiễm mỡ.
Điều trị:
1.Amflox 750mg x 1 chai/ ngày x 8 ngày.
2.Xoneul 2g x 2 lọ ngày x 8 ngày.
3.Polhumin mix-2 x 30 đv (tdd), 6h :15 đơn vị, 18h: 15 đơn vị.
4.Scilin R x 8đơn vị (tiêm dưới da) 11h.
5.Aspirin 81mg x 1viên/ 1 ngày x 8 ngày.
6.Pregasafe 50mg x 2 viên/ ngày.
7.Amlor 5 mg x 1viên / ngày.
8.Thay băng chăm sóc vết thương hàng ngày.
Bệnh nhân được chuyển tuyến xác định chẩn đoán và điều trị tiếp.
Tại bệnh viện Việt Đức khối u được cắt bỏ và vá da.
Kết quả GPB của BV Việt Đức là Melanoma.
Bênh nhân được chụp PET/CT Scan kết quả bình thường.
Sau 15 ngày bênh nhân được chuyển BV đa khoa tỉnh Hải Dương điều trị tiếp.
Vết mổ khô, đã dần liền sẹo ra viện sau 10 ngày.

III. BÀN LUẬN
Trên đây là trường hợp một ca bệnh: bệnh nhân bị bệnh nhiều năm (8 năm điều trị) phần nào cũng biết được các biến chứng của bệnh như THA, biến chứng mắt, thận, thần kinh và loét bàn chân nên thay vì đến khám tại bệnh viện xin ý kiến điều trị của thầy thuốc thì người bệnh đã tự chữa bằng cách đắp nát củ tỏi và áp lên vết loét, là thói quen khá phổ biến ở người dân Việt Nam nói chung và người nông thôn Việt Nam nói riêng do có thói uen chữa bệnh theo dân gian, truyền miệng không có cơ sở khoa học tạo không đảm bảo tốt tính vô trùng. Thói quen này rất không tốt là điều kiện thuận lợi cho một vết thương nhiễm trùng, làm tăng khả năng bệnh nhân phải nhập viện và tăng chi phí điều trị cho sau này.
Theo Amit Cumar C Jain và cộng sự, việc điều trị vết thương nhiễm trùng bàn chân chiếm ¼ số bệnh nhân phải nhập viện ở Anh và Mỹ và chi phí điều trị tăng từ 4,595 đô la cho một liệu trình điều trị loét đến 28,000 đô la trong 2 năm sau khi được chẩn đoán [3].
Bệnh nhân vẫn kiểm soát được đường huyết, mỡ máu (HbA1c 7.6%; Glucose đói 9.4 mmol/l; LDL-C 2.06 mmol/l) và HA ở mức độ tương đối ổn định (HA 130/80 mg chưa có dấu hiệu tổn thương mạch vành trên lâm sàng và điện tim). Tuy nhiên, BMI chưa được kiểm soát tốt 27kg/m2, theo phân loại của liên đoàn ĐTĐ quốc tế (international diabetic federation), với chỉ số BMI này bệnh nhân được xếp vào loại béo phì (obesity).
Theo hội Nội tiết lâm sàng Mỹ thì thừa cân béo phì và đái tháo đường làm tăng nguy cơ mắc ung thư do bản thân insulin hoặc các yếu tố giống insulin (insulin - like growth factor 1) hoặc sự sản xuất các horon sinh dục quá mức, adipokine và yếu tố chống viêm,..các yếu tố này là tác nhân ức chế hoạt động kìm hãm và khởi động các gen gây ung thư [6].
Qi Li và cộng sự cũng cho biết có sự tăng nhẹ tỷ lệ ung thư sắc tố ở người béo phì và ĐTĐ type 2 so với người không béo phì và ĐTĐ type 2 [4].
Do sự chủ quan của người bệnh từ một tổn hương nhỏ bằng hạt gạo, chưa có biểu hiện xâm lấn rõ ràng, những sai lầm trong phương pháp xử chí của người bệnh cũng như thiếu kiến thức và tư duy hướng đến một tổn thương ung thư mà các bác sỹ lâm sàng cũng bỏ qua việc lấy bệnh phẩm mang đi làm xét nghiệm xác định tổn thương cũng như cấy dịch xác định nhiễm khuẩn vết thương, các bác sỹ xử lý ban đầu với bệnh nhân này đã thất bại trong phương pháp điều trị và bị bế tắc phải chuyển tuyến sau thời gian dài tiếp xúc với người bệnh (3 năm).
Theo Susan Thomas và cộng sự (Mỹ), một tổn thương ung thư da trên tổn thương loét bàn chân ở người ĐTĐ dễ bỏ qua bước sinh thiết làm mô bệnh học xác định chẩn đoán cũng làm cho quá trình chẩn đoán điều trị bệnh bị chậm trễ và kéo dài [9].
Bệnh nhân này sau khi được chuyển đến khoa Nội tiết bệnh viện đa khoa tỉnh Hải Dương đã được các bác sỹ tiếp cận làm đầy đủ các xét nghiệm cơ bản, đặc biệt là hướng ngay tới một tổn thương ác tính trên nền một ổ loét nhiễm trùng gót chân trái được cấy mủ ổ loét tìm vi khuẩn và chọc hút kim nhỏ, nghi ngờ ung thư sau đó làm sinh thiết; kết quả cấy mủ và sinh thiết có 3 chủng vi khuẩn là tụ cầu vàng (S.areus), trực khuẩn ký sinh ở ruột và hốc tự nhiên (proteus) và trực khuẩn đường hô hấp (K.pneumoniae) đồng thời mô bệnh gới ý hình ảnh tổn thương ác tính (gồm những đám tế bào biểu mô gợi hình ảnh đa diện tương đối đồng dạng với nhiều sắc thể thô, bào tương hợp, xen kẽ vùng hoại tử). Một nghiên cứu ở châu Âu cho thấy 58% trường hợp loét bàn chân phải nhập viện do ĐTĐ có nhiễm trùng, ở Mỹ là 56%, hầu hết các vi khuẩn trong ổ nhiễm trùng là các chủng thông thường ký sinh ở các hốc tự nhiên , người lành mang trùng như ở ống tai, khoang miệng, đường tiêu hoá đôi khi là các chủng bệnh viện như trực khuẩn mủ xanh, tụ cầu,.. [10].
Nguyên nhân cơ chế của vấn đề này được giải thích do một số thay đổi hoá sinh ở người ĐTĐ dẫn đến tổn thương như: tình trạng giảm cảm giác, thiếu máu nuôi dưỡng, stress oxy hoá tự chủ, (auto oxidant stress), hoạt động lên men quá mức của mô, tăng các sản phẩm glycation, thiếu các gama linolenic acid, tăng protein kinase C đặc biệt là B-isoform, rối loạn chức năng cytokins, rối loạn sản xuất phân tử collagen, rối loạn chức năng nội tiết, thiếu yếu tố tăng trưởng, điều hoà miễn dịch, tăng sản xuất các proteases. Tất cả những yếu tố trên đồng thời làm tăng nguy cơ tổn thương bàn chân và tình trạng loét nhiễm trùng bàn chân ở người ĐTĐ [5].
Bệnh nhân sau khi đã được điều trị tình trạng nhiễm trùng khá ổn định và được chuyển tuyến để được điều trị chuyên sâu cắt bỏ khối u và ghép vạt da tự thân cho vùng tổn thương. Sau hơn 1 tháng điều trị tổn thương ung thư bàn chân đã dần ổn định vết mổ khô và dần liền da. Để mô tả tổn thương ung thư, dựa theo phân loại TNM của hội ung thư Hoa Kỳ bệnh nhân này được phân loại là T3bNoMo do đặc điểm khối u 4cm, có loét sùi không thấy tổn thương hạch và chưa di căn xa [10]. Còn theo bệnh học bàn ĐTĐ phân loại theo Meggit - Wagner đó là tổn thương 2B vì là tổn thương loét sâu (deep ulcer) và có nhiễm trùng (infection) nhưng chưa có tổn thương xương và thiếu máu [5].
IV. KẾT LUẬN
- Ca bệnh nữ 62 tuổi có tiền sử ĐTĐ type 2 - 8 năm, THA - 4 năm điều trị thường xuyên kiểm soát đường máu mức trung bình, HA, mỡ máu kiểm soát tốt, chưa tìm thấy bằng chứng của biến chứng mạch máu lớn và mạch máu nhỏ. Tuy nhiên kiểm soát BMI chư tốt, còn tình trạng béo phì (BMI 27kg/m2).
- Một tổn thương bàn chân ung thư sắc tố da gót chân trái nhiễm trùng da do 3 chủng vi khuẩn (tụ cầu vàng, trực khuẩn phổi, trực khuẩn vãng lai) phân loại tổn thương bàn chân theo meggit - Wagner 3B, phân loại TNM là T3bNoMo, được chẩn đoán chậm trễ (3 năm kể từ khi phát hiện tổn thương), xử trí quanh co, tuy nhiên bệnh nhân đã được phẫu thuật ghép da bước đầu thành công và đang trong giai đoạn theo dõi tiếp.
V. KHUYẾN NGHỊ
- Cần hướng dẫn giáo dục bệnh nhân ĐTĐ biết cách chăm sóc bàn chân và khms bàn chân định kỳ tại cơ sở khám bệnh chuyên khoa.
- Các tổn thương loét bàn chân ĐTĐ cần lưu ý một số gợi ý tổn thương ung thư phối hợp để có biện pháp can thiệp sớm và đúng cách giúp giảm thiểu thời gian và chi phí điều trị.
TÀI LIỆU THAM KHẢO
1. AACE/ACE (2013) ''diabetes and cancer consensus statement'' endocrine pract. Vol 19. No4, july/august 2013.page 675-689.
2. American cancer society (2016) '' melanoma skin cancer''.
3. Amit Kumar C Jain (2012)''a new classification of diabetic foot complications: a simple and effective teaching tool''. The journal of diabetic foot complications, 2012, volume 4, issue 1,No1, page 1-5.
4. Cancer research UK (2014) '' Skin cancer ''.
5. F. Aguilar Robolledo et al (2011) ''the pathogenesis of the diabetic foot ulcer prevention and management global perspective diabetic foot ulceration''. ISBN, page 9-178.
6. Global report diabetes WHO 2016-ISBN9789241565257.
7. NCCN guidelines for patients (2014) ''melanoma''.
8. Qi Li et al ()''type 2 diabetes mellitus and risk of malignant melanoma: a systematic review and meta-analysis of cohort studies''.
9. Susan Thomas et al (2012) ''A rare form of melanoma masquerading as a diabetic foot ulcer: A case report'' Volume 24 - Issue 2 - February 2012.
10. Wounds international (2013) '' International best practice guidelines: Wounds management in diabetic foot ulcers ''.