Trong quá trình thăm khám bệnh tại khoa Răng Miệng- Bv Đa khoa tỉnh Hải Dương, chúng tôi gặp một bệnh rất phổ biến, nhiều bệnh nhân mắc phải và đã được chúng tôi xử lý rất nhiều đó là: mòn cổ răng.
Vậy: mòn cổ răng là gì và chúng ta cần làm gì. Trong giới hạn bài viết hôm nay tôi xin được giới thiệu những điều căn bản nhất trong việc tìm hiểu nguyên nhân, cách phòng ngừa và điều trị mòn cổ răng.
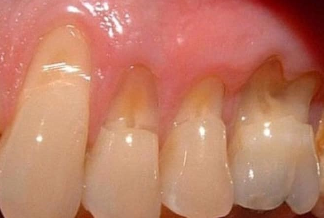
1. Mòn cổ răng là gì?
Mòn cổ răng là hiện tượng mất tổ chức cứng tại vùng cổ răng(vùng tiếp giáp giữa thân răng với lợi).Tổ chức cứng tại đây có men lớp ngoài và ngà răng ở trong.Mòn cổ răng có thể mất men hoặc cả men và ngà răng.
Tổ chức này không có khả năng tự phục hồi nên khi mất đi mà không có phương pháp phục hồi thì sẽ là tổn thương vĩnh viễn.
2. Nguyên nhân của mòn cổ răng:
Khác với các bệnh lý sâu răng thông thường do vi khuẩn, nguyên nhân gây ra mòn cổ răng được xếp vào nhóm tổn thương tổ chức không do sâu răng. Nguyên nhân gây mòn cổ răng thường do các nguyên nhân sau:
- Chải răng không đúng cách: Nhiều người có thói quen chải răng ngang với lực đánh nhanh và mạnh, lông bàn chải cứng kết hợp với lực đánh mạnh qua ngày tháng làm mòn cổ răng và đây được coi là nguyên nhân chủ yếu.
- Khớp cắn răng bất thường:khi khớp cắn không bình thường dẫn đến vùng cổ phải chịu lực uốn bất thường,gây ra hiện tượng mỏi men ngà và dẫn đến tiêu mòn cổ răng.
- Răng mọc chen chúc,lệch lạc:răng mọc lệch lạc dẫn đến những răng vùng trước chịu lực chải răng chính,nhóm sau ít chải đến,dẫn đến hiện tượng mòn nhiều ở những răng phía trước
- Thói quen dùng đồ uống có gas,thực phẩm có tính acid: Trong thực phẩm,đồ uống có gas,tính acid cao dẫn đến hiện tượng hoà tan men răng,làm lộ ngà,và tiếp tục phá huỷ tổ chức cứng của răng
- Do gen di truyền hoặc rối loạn cấu trúc men răng: dẫn đến cấu trúc men bất thường,men răng “mềm’ hơn bình thường,dễ bị bào mòn bởi các tác động ngoại lực, đồ ăn, thực phẩm có tính acid cao
- Do một số nguyên nhân khác: trào ngược dạ dày thực quản, sử dụng thuốc đặc trị trong thời gian dài, thói quen ăn nhai đồ thô cứng
3. Hậu quả của mòn cổ răng:
Giai đoạn đầu mòn cổ răng thậm chí không gây ra bất kì cảm nhận nào ở bệnh nhân mà thông qua thăm khám bằng mắt thường, bác sĩ răng hàm mặt phát hiện ra các rãnh mòn cổ răng, có thể dùng thám trâm để lách vào, lúc này bệnh nhân có thể thấy tê, khi thổi gió thấy buốt hơn bình thường
Giai đoạn tiếp theo: bệnh nhân thấy ê buốt khi ăn đồ lạnh(kem), xúc miệng nước nóng, lạnh, thậm chí khi hít gió cũng cảm thấy ê buốt. Tăng nhạy cảm ngà hơn bình thường.

Giai đoạn muộn: khi mòn cổ răng nhiều kèm theo đọng giắt thức ăn dẫn đến hôi miệng, ảnh hưởng đến thẩm mỹ. Khi mòn cổ đến sát hoặc dẫn đến hở buồng tuỷ, bệnh nhân sẽ thấy ê nhức dữ dội, cơn đau lan lên tận nửa đầu cùng bên răng mòn và dẫn đến viêm tuỷ răng và phải điều trị tuỷ răng.
4. Cách phòng ngừa và xử trí mòn cổ răng:
Cần tuyên truyền trong nhà trường từ bé về cách chải răng đúng(chải răng xoay tròn, nhẹ nhàng, dùng bàn chải lông mềm,..)
Nắn chỉnh răng lệch lạc để có khớp cắn đúng,giảm hiện tượng mòn do mỏi men ngà, chải vào răng chen chúc phía trước
Hạn chế dùng thực phẩm, đồ uống có tính acid, có gas
Định kỳ đi khám bác sĩ răng hàm mặt (2 lần/năm) để vệ sinh răng miệng và phát hiện các tổn thương mòn cổ sớm và hàn phục hồi cổ răng. Khi ở giai đoạn sớm, việc hàn cổ răng là kĩ thuật tối ưu để phục hồi tổ chức bị mòn, đơn giản và hiệu quả, tránh các ảnh hưởng lâu dài về sau.
Các cảm giác ê buốt, nhức khi ăn nhai uống nước thường giảm ngay lập tức sau khi hàn phục hồi cổ răng, phục hồi cả về thẩm mỹ và bệnh nhân không bị ảnh hưởng đến sinh hoạt do vậy việc khám định kỳ là rất quan trọng.
Nếu cần tư vấn hoặc thăm khám các vấn đề về răng miệng,quý bệnh nhân có thể đến Khoa Răng Miệng-P210-tầng 2-nhà A-Bv Đa khoa tỉnh Hải Dương để dược tư vấn, thăm khám và điều trị hiệu quả.